E GATTRIFIED MATERIAL SATERALT AUS ZILL AUS KOMPLATIOUNS VUN PATIOS PATHOLOY ASS NËMMEN Eenzelpersoun a gëtt vun engem Dermatatolog fir all Patient baséiert op der Natur.
Wéi behandelt d'Psoriasis um Kapp a Kierper? Den Haaptqualitéit ass eng integréiert Approche ginn: Patienten hu Systemic Droganten, lokal Drofen, a kierperlech Spigeles, an kierperlech Prozeduren an eng kierperlech Prozedursforpéelen. D'Behandlung gëtt ergänzt duerch bewölkt Hunpositiounen, déi op Basis vun natierleche Komponenten gemaach goufen (medizinesch Kraider).
Wéi een PSORIASIS op de Kapp benotzt mat Systemdrofen? Fir dësen Zweck, Patienten sollten Drogen vun de folgende Gruppen huelen:
- Zytostatiker (erlaben net anormal Zellen op multipicken ze messe, verhënneren d'Degeneratioun vun der gesonder Strukturell Elementer vun der Epidermis a menignéiert Formatiounen);
- Antihistaminen (entlaascht eng allergesch Reaktioun - eng vun de Faktoren provozéieren d'Erlaabnis vun der Psoriasis provozéieren);
- Immunoenuppressure (reduzéieren d'Aktivitéit vun de Verteidegung vum Kierper);
- Sedativ Drogen (hunn en berouegen Effekt op den Nervensystem);
- Retinoids (Dour d'Aktivitéit vun de sebaceous Drüsen, erlaben net anormal Zellen ze propagéieren);
- Systemesch biologesch Agenten (reduzéieren d'Aktivitéit vun der Immunitéit);
- Hormonal Pëllen (Injektiounen) - positiv beaflosst den allgemenge Konditioun an d'Wuelbefannen vum Patient.
- Eliminéiert d'Haut, déi am psoriiicatesche Foci ze it Eliminéieren;
- Lass ze peeléieren;
- Cope mat Péng an Onbequemen, minimiséieren den entzündleche Prozess;
- Verhënneren déi weider Verbreedung vu Placke am Kierper.
- Fetteg giereg Fleesch Bouden, gefëmmt Fleesch;
- Wierzegen an iwwer gesalzt Platen;
- Swerfo Gedrénks) exotesch Uebst hunn, Séissegkeeten;
- Staark Téi a Kaffi;
- Alles wat Fläche stierwen, Schimmel, konservativen.
- Liichtbehandlung (ultravioletrahlen);
- Puva Methoden;
- Acupuncture;
- Salz vum Doudegen Mier.
- Dacks am Rezept, inkompatibel Zutaten sinn ugeschloss.
- D'Effektivitéit vu ville Methoden ass net offiziell bewisen.
- D'Benotzung vun enger Rezeptioun vun enger Krankheet kann d'Entwécklung vun engem aneren provozéieren.
- En exzessive Betrag u Kraider kann eng allergesch Reaktioun verursaachen.
- Verschidde Planzen si gëfteg.
- De luesen Ufank vum therapeuteschen Effekt.
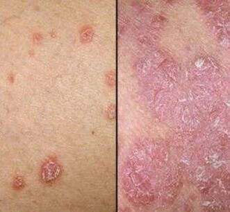
- Rocky ongläich Flecken vun engem rout-violet Schiet.
- Dréchen Scalp.
- Schäffen erschéngt, ähnlech Dandruff.
- Onberechtegt Jucken.
- Verbrenne a Péng am Beräich vun der Rücksinn.
- Blutungen entstinn aus Kratzer oder Entfernung vu Skalen.
- Temporär Hoerverloscht.
- Vermeit Iwwerhëtzung a Sonnebrand.
- An der Zäit, diagnostizéiert a behandelt all Krankheeten.
- Wash a kombinéiert Är Hoer mat Vorsicht.
- Periodesch duerch de Kapp vum Kapp duerch Behandlung vun der Behandlung an prophylaktesche Shampoos.
- Enthale gesond a gutt Ernärung.
- Vermeit negativ Emotiounen, stresseg Staaten ze vermeiden.
- Wielt Kosmetik fir Haut an Hoer Hautfleeg am Aklang mat hirem Typ.
- Ichthyol Salbe. Zielt beim eliminéiert entzündlech Prozesser. Zousätzlech ass et eng gutt antiseptesch an huet en analgeteschen Effekt.
- Salicycic Salbe. Et ass bekannt fir seng antokiseptesch an anti -inflamatory Eegeschafte. Akzeptéiert och den Heelungsprozess vun der Haut vum Kopfhaut. Dir kënnt Salben benotzen déi 1-2% vun der aktiver Substanz enthalen.
- Naphthalan Salbe. Et huet en andowdistemeschen Effekt, stoppt Entzündungsprozesser, verléisst d'Péng. Esou kann den gewëssen vun dësem Häerz kimenséieren, déi an der gesetzlecher Reglé vun der BalPPider Aps vum Kalpidermemberen.
- Drogen enthalen tar. Zielt beim Erditung vu séier Zelle Wuesstum. De Prozess vun der Exfoliatioun beschleunegen. Bäidroe fir déi schnell heelen vun der Haut.
- Antihistaminen. Zielt fir Itchy a Schmerz ze eliminéieren. Erliichtert och Entzündung gutt
- Salben, déi Vitamin D3 enthalen Verdrängen den aktiven Wuesstum vun epidermalen Zellen. Och hir Aktioun ass zimmlech den Immune System vun der Haut ze erhéijen. Stoppen d'Entwécklung vun der entzündlecher Prozesser.
- Mechanesch Schied un der Haut an der Kopfhaut.
- Geschwächt Immunitéit.
- Patient Expositioun fir stresseg Situatiounen.
- Falsch an net -proporativ Ernärung.
- D'Progressioun am Kierper vun engem Patient mat chroneschen Ailments déi eng infektious Eiktioun hunn.
- D'Präsenz vun der Uschlëss, besonnesch mëssbrauch vu Alkohol-enthalen a fëmmen.
- Violatioune an der Aarbecht vum Verdauungstrakt.
- Verlängert Medikamenter (besonnesch Steroid).
- E systematesche Effekt op d'Hoer an d'Haut vun de Käpp vun niddregen Temperaturbedingunge.
- Hormonal Stéierungen (Zum Beispill, eng Period vun der Schwangerschaft, Iwwergangsalteralter, endocrine Krankheeten, asw. ).
- d'Haut iwwer den Oueren, duerno vun Oueren;
- Stiermer, occipital Deel;
- hënneschter Uewerfläch vum Hals;
- Den Trennung vun den Hoer Deel.
Wéi ze behandelen Psoriasis um Kapp a Kierper mat der Hëllef vu lokalen (externen) heescht? An deem Da selwechten, Patienten mat enger passer Situatiounesch Diagnos, d'Sprénken, Crèche, op Léisungen. D'Benotzung vun dëse Medikamenter hëlleft mat e puer medizinesche Aufgaben ze këmmeren:
System a lokal Behandlung vun der Krankheet mat Medikamenter ergänzt sech net mat der Diät. Also, Patienten leiden ënner Manifestatiounen vun der Psyliasis soll hir Daily Ernärung iwwerwaachen. Si ginn empfohlen fir sou Iessen ze verloossen:
Déi Patienten déi un Hëllef denken wéi ech pSorienesch maachen, souwéi verschidde Porribiden.
Physiotherapie fir Psoriasis um Kierper an der Kopfhaut:
Symptomer vun der Psoriasis um Kapp
Mat onMELTCHIONAL Behandlung vun der Psorasis an der Kappberäich, negativ Syrptomer a Form vun der aktiver Exfolatioun a Weider Ersatz vu Placke mat der Placke. Si kënnen net nëmmen op der Schalung observéiert ginn, awer am ganzen Kierper.
Formen an Etappe vun der Krankheet
D'Awunner vun der nërdlecher Halmisphär a Länner mat engem temporéierte Klima méi ufälleg fir dëser Pathologologie, an der südlecher an tropescher Welt.
D'Krankheet gëtt an déi folgend Etappen opgedeelt:
Ufanks
Papulen kënne komplett kleng Gréissten sinn a kann iwwer Zäit erhéijen. Dëst geschitt normalerweis op virdrun blesséiert Fläche. E puer Deeg, ass e groe Fësch op der Plaz op op enger Plaz optrieden, fir e puer Wochen vun der Krankheet net weiderfnouer. D'Bildung vu Plack schwätzt vum Doud vum Epithelium an ersat et mat neien.
Wann d'Haut net definéiert ass, da gëtt dëse Prozess ongeféier 3 Wochen, an an de Leit mat Psoriasis manner wéi d'Epitholum, d'Bildung, déi d'Bildung vu Placken hunn
Progressiv
An deem, als Regel, plaër ufänken séier an der Quantitéit an der Gréisst ze wuessen. Si ginn méi verschidden, kënne mat eis mat anenee verbonne verbonne ginn a méi aktiv mat der Formulaire mat der 67 Skales iwwerdroen. Ronderëm si, d'Haut gëtt rosa oder rout.
Et ass schwéier ze soen, och als éischt, wéi vill d'Progressioun vum Scaly Licen weider geet. Dëse Prozess kann e puer Wochen daueren. Soss wäert dëst fir e puer Méint weidergoen. Dës Bühn ass nach ëmmer karakteriséiert duerch méi héich an der Zerstéierungsplaze wéi soss.
Stralung
Mat sengem Ufank, d'Progressioun vun der Skaly Lichen stoppt, an nei Placke net. Och eng InSFnitime Zäit ass, an dunn och d'Fortschioun weiderféiert, an de Prozess vu Remitiounen kann ophalen.
An der struktiounstad Bühn huet ugefaang huet, hëllefe méiglecherweis dat Zouverwaltung vun der Terrass vun neien fruire vun neien kreestsätegen, déi komplett wësse kann.
Regresséierend
Ech sinn agreabel fir krank Patienten, zënter Platzen fänken un en éiwege -Bighter Hiweis ze kréien , graduell eng kierperlech Faarf ze kréien oder ganz verschwannen. Si léisen, ophalen Painener, an op e puer Mount däerf kengem Tréié empfi mat hinnen.
Fir all Pati kann d'Déput fir d'Regressungungsstaden an eng Parteié oder e puer Méint besicht konnt, oder nach méi besetzen.
Nodeeler vun net-trainéierend Methoden vun der Therapie
Nodeeler vun de Leithëllef:
Symptomer an déi éischt Zeeche vun der Psoriasis um Kapp
Hoer Psoriasis huet dacks e mëllen Stroum an ass bal onsichtbar. Zezeechnente Feeën gifiiech um Kapp sinn den Eenzännchen, an e puer verschidden Iwwerwetzrëtt a bleift d'Formatiounen an eng laang Këschten och d'Formatioun an eng laang Clongo Säit vun der Patrologie. Intensiv Séierungen veruersaachen Béiser, a grousst Tombs féiert zu Haut Infektioun a Hoerfloscht.
Wat gesäit PSORIASIS vum Kapp aus? E mëll Grad vu Krankheet huet manner presonéiert Manifestatiounen: Kammerverbuedem Punkt Rager, déi praktesch net bemierkt huet, déi praktesch keng Onbequemlechkeet verursaacht.
Moderéiert a schwéiere Grad enthält déi folgend Symptomer a Schëlder vun der Krankheet:
Wann de Patient eng Geschicht vun der Psoriasis um Kapp an e puer vun den uewe genannte Symptomer huet, dëst déngt als e Grond fir en Dermatologen ze rennen.
Präventioun
Fir d'Erscheinung vun der Psoriasis vun der Kopie ze vermeiden, ass et nëtzlech:
Trotz der Tatsaach datt d'Pestasie vun der Kopital hir Krankheet ass, ass seng Behandlung kann séier a schaarf a schéi ginn. D'Haaptform ass op d'Accord ze respektéieren op dës Recopristen a solit sass sëgmeg gutt Demonitur gutt hiewen, hir puddologeschikanesch Manifestatiounen verhënnert.
Psoriasis op de Kapp: Behandlung mat Apdikt Produkter
Wéi behandelt d'Psoriasis op de Kapp? Fir Therapie fir d'Liichtstad vun der Krankheet, et ass normalerweis genuch fir e Cours vun der Behandlung mat lokalen Drogen ze maachen. Wann Dir eng Apdikt besicht, sollt Dir op déi folgend oppassen Héich effektiv Medikamenter:
Gënschtler Grënn
Eng charakteristesch Feature vun dëser Pathologie ass d'Placken op de Kapp, läit net an d'Hoer, awer op der Haut. Dës scaly Foci kann verschidde Gréissten an de meeschte Fäll, déi d'Entwécklung vun der initialer Etapp vun der Krankheet weisen. Psoriiatesch Skalen kënne liicht vum Dandruff duerch exzessiv sebaceous Sekretiounen ënnerscheet ginn.
Wéi d'Haaptursaach vun der Entwécklung vu Psoriasis vum Kapp, modern Medizin betruecht eng Vollek vu metabolesche Prozesser am Kierper.
Et sollt och e puer Faktore bemierken datt d'Erscheinung vun dëser Pathologie provozéiere kënnen:
Op eemol, Psoriasis op de Réck vum Kapp, Eyebrows, Staark a Baart kann an engem weibleche a männlechen Publikum erschéngen, wiem seng Alter méi wéi 35 Joer ass. An de Patienten vun de jonken Altersgrupp, entwéckelt dës Krankheet wéinst genetescher Präfigioun. Geméiss Affativen, déi duerch medizinst Institutiounen aus der ganzer Welt gefouert gëtt, ass dës Form vu PSORIASIDIAL progresséiert, wärend aner Woche kënnen.
Lokaliséierung vum Foci vum Néierlag um Kapp
Psoriasis op der Kopfhaut ass déi heefegst Form vun der Krankheet. Et geschitt a méi wéi 60% vu Fäll. An der Verontreiung vun der Behandlung, d'Pathologie geet dacks a méi schlëmm Formen. Psoriktikett d'Läsionen si haaptsächlech an de folgende Beräicher lokaliséiert:
Tipps fir traditionell Medizin
Wéi feelen d'Psoriasis op de Kapp benotzt Folk Rezepter? Sou onofhängeg Mëttes, si sinn net genuch. Awer zousätzlech Winnerv vun Heem Rezepter fir d'Behandlung vun de Psyliiser op den Kopal.
Rezept 1
Pass 300 Gramm Criland Füügt et an et 30 ml vu rout trocken Wäin. Richen déi betraffe Beräicher vun der Kopfhaut mat dëser Mëschung. Loosst op d'mannst 15 Minutten, da wäscht duerno of.
Rezept 2
Lubricate d'Kopfhaut mat Alkohol Infusioun vun der Clinaine. Fir et ze preparéieren, e Véierel Glas dréchent Gras Pour ½ Liter medizinesche Alkohol a loosst e puer Stonnen. Dëse Latkl Andmidunie fir PSoriase huet en staarkt Effekt a kann d'Haut Irritatioun verursaacht. Wann onsympathesch Sensatioune erschéngen, solle mat engem neutrale Agent gewascht ginn, an d'Hoer sinn mat enger charmoilaler Infusioun.
Rezept 3
Tinccture virbereet op Basis vu jonke Sonneblummen huet e prononcéiert antonéiert Anton -inflamabatororganisatory Effekt a verhënnert datt weider Reproduktioun vun der Bakterien. D 'Zuel vun der Moies gëtt vun Suchtprodued app Bild fir d'Preorasis, Beglestéiert andeems Dir eis an der Sectepetissonne begleet.
Zwee Kuerf vu Sonneblummen sollten grëndlech gewascht ginn, fein gehackt an ongeféier 100 ml Wäisswäin. Zoumaachen d'Platen mat engem Deckel a fannerlooss fir 48 Stonnen, dréckt dann de Jus. Et muss als Kompresse benotzt ginn. Et gëtt och recommandéiert d'Haut mat der Sonneblummen ze luprikéieren.
Rezept 4
Mix Liicht Petroleum Jelly oder Zalol (300 g) mat zwee Proteine vu Poulet Eeër, füügt e Läffel Honden Hunn an engem Läffel. Lubricate déi betraff Haut mat Salbe.
Rezept 5
Psoriasis um Kapp kann geheelt ginn, mat Roship Steng doheem ze benotzen. Déi gedreiften Filmer musse Bréiged hunn, gëtt den Asha ze gesammelen, a Spéiwamme mat der selwechter Bedierfnesser mat der selwechter Bedierfnesser fir ze benotzen a wéi eng Hintentum gidd. Als Regel, mat der deeglecher Uwendung erscheint den Effekt an enger Woch. Well sou engem Tool féiert zu séier Hoerverschmotzung, et gëtt recommandéiert se all Dag ze wäschen mat Seife mat tar oder speziell heelen Shampoing Shampoing.
Rezept 6
Behandlung mat Nolk Bewerbungen involvéiert och d'Benotzung vun Onversiounen an Dekonten fir intern Verwaltung.
Ee vun den effektiver Rezepter fir Psoriasis op de Kapp ass d'Infusioun vu schwaarze Bezine. Et muss 1/2 Coupe verbraucht ginn (am léifsten nom Iessen - ongeféier eng Stonn). De Troy ass bereet wéi folgend ass déi geklappt an eng Lämmche vun enger eléewercher Blummen 450 mma vu Kloform drauen opschandaft an en Stonn an en hallef Waasser.























